Heel spur
In the following, we’ll explore the development, causes, symptoms and the possible treatment of a heel spur.
What is a heel spur?
A heel spur is a sharp bony outgrowth of the heel bone (calcaneal tuberosity), the big bone inside your heel. Two important tendons are connected to the heel bone: the Achilles tendon and the plantar fascia, which runs along the sole of the foot. If the body is exposed to excessive stress, it can react by building up calcium deposits at the tendon insertion. Your body is essentially trying to stabilise the structures affected. However, these calcium deposits can also cause inflammation.
A heel spur usually occurs under the sole of the foot, at the insertion of the plantar fascia (called ‘plantar heel spur’). This heel spur can occur together with an inflammation of the plantar fascia, called plantar fasciitis, or it might even trigger it. A heel spur at the Achilles heel insertion is rather rare. A particularly rare condition is Haglund’s deformity. As opposed to the heel spur, this is a bone spur of the heel bone that covers a wide area.

Causes
A heel spur is the body’s reaction to excessive stress on the foot. A number of different factors can cause this excessive stress, such as:
- postural deformities of the foot – flat feet, for example
- excess weight
- shortened calf muscles
- ill-fitting or worn-out shoes
Symptoms
A heel spur’s main symptom is heel pain. It is normally described as a piercing or burning pain. It usually occurs while stressing the heel or shortly afterwards. Pain after getting up in the morning is also a typical symptom. Applied pressure to the affected area usually also causes pain. In the case of a plantar heel spur, the central area of pain is around the sole of the foot while in the case of a heel spur around the Achilles tendon, the pain can be felt right by the Achilles tendon itself. The affected area is usually also red and swollen in both cases.
However, a heel spur doesn’t necessarily have to cause pain. It can also remain asymptomatic, in which case it’s usually discovered by accident.

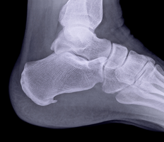
Diagnosis
In order to diagnose a heel spur, any pain will first be discussed during a consultation. The consultant will usually then examine the foot to check whether any pain is triggered by pressure, and if so, in which areas. If the heel spur is particularly large, the consultant might be able to feel it. To make a definitive diagnosis, a heel spur can be detected via X-ray. Here, it will be visible as a bone spur in the shape of a thorn.
If the cause for the pain is believed to be a different one, other visualisation methods like ultrasound or magnetic resonance imaging can be applied. If there is reason to suspect an inflammatory disease, a blood sample may be required.

Treatment
The primary objective of treating a heel spur is to remove the pressure on the tendons. To do this, the first step is to go easy on the foot whenever possible. Heel cushions provide additional relief. They reduce the pressure on the heel and allow the inflammation to subside. For a long-term solution, specialists often prescribe shoe inserts which support the foot systematically.
In the acute phase of the inflammation, medication and ointments can offer pain relief and have an anti-inflammatory effect. Shockwave and ultrasound therapies can also help to ease the pain. As an additional treatment, physiotherapy may be prescribed. During this type of therapy, exercises will be taught which will specifically stretch and strengthen the muscles and tendons in the foot.
It is rather uncommon to operate on a foot spur – it’s normally the last resort if all other measures have been exhausted. During this operation, a section of the plantar fascia is severed in order to reduce the pressure on the tendon. This can lead to a flat foot, however. That is why this operation is the absolute exception.

Prevention
A heel spur is caused by excessive stress. That’s why it’s vital to strengthen the foot muscles as well as the ligaments and tendons. The key to this is regular and targeted exercises.